臨床検査部
採血室
エスカレーターで2Fに上がると臨床検査部の採血・採尿受付が右手側に見えます。ここでは、外来の血液検査の採血と尿や便、喀痰などの検体の受付を行っています。受付には患者IDがわかるもの(受付票や当日診察票)が必要です。
採血室では、患者照合システムで整理券と採血管との自動認証が可能になったことで、患者さん本人に名前を名乗っていただく確認と合わせて、患者誤認防止対策をとっています。
採血・採尿の流れ
診察券を再来機に通した方で受付票に「検体検査:採血 / 採尿」 や「採血あり」、「採尿あり」 などと検査内容が表示されていましたら、2Fの採血室までお越し下さい。
| |
①1階受付の再来機で発行した「受付票」を準備し、2階「採血・採尿受付機」前にお立ち下さい。 | |
![]() |
②「受付票」のバーコード部分を赤い光の下にかざして下さい。 | |
| |
③採血番号札や尿カップが発行されます。注意:尿カップのお名前をご確認下さい。 | |
| |
④受付の検査受付は7:45開始、 採血は8時開始です。 採血室横の待合室や2階廊下椅子でお持ちください。 |
|
![]() |
⑤検査・採尿受付機より「受付窓口にお越し下さい」のメッセージ札を受け取った方は、受付担当者に提出してください。
|
|
![]() |
⑥採血をお待ちの方は、採血待合室かモニターがある入口近くでご自分の番号が案内板に表示されるまでお待ち下さい。*採血のお呼び出しがあるまでに、尿検査を先に済ませても構いません。 |
|
|
|
⑦番号呼び出しがありましたら、採血待合室から採血台と表示された矢印側にお進み下さい。 |
|
|
|
⑧採血台の上にテーブル番号と整理券の番号が表示されますので、採血担当者の案内に従ってお席について下さい。 |
|
![]() |
⑨採血後、採尿や生理検査室に進まれる方は、採血待合室奥の廊下を左折して下さい。 |
|
生化学、免疫学的検査
血液や尿などの体液を化学的に分析し、健康状態や病気の度合い、病気の場所を推定する検査を行っています。

血液を1分間に3,000回転の速さで10分遠心すると、赤い血球成分層と黄色い液状成分(血清)に分かれます。この黄色い液体を検査に使用します
|
各分析器で同時に分析出来るように血清を分ける装置です |
様々な成分を測定し、各臓器の状態を調べる装置です。感染症や、癌の疑いが無いかも化学的にこの装置で調べています。2種類の分析装置を連結する事で、同時に多数の項目が分析可能です |
投与薬物の血中濃度やリウマチの検査を行う装置です |
|
心不全の検査やアレルギー、妊娠の有無及び経過観察の検査を行う装置です |
糖尿病の検査を行う装置です |
脱水の有無を調べる装置です |
多くの機械を同時に使う事で、たくさんの検査データを正確に素早く出しています!
血液検査
ここでは貧血や白血病、感染症などの診断に重要となる血液の代表的な成分
(赤血球・白血球・血小板)の検査や止血機能などの検査を行っています。
|
≪血算≫ |
≪凝固系検査≫ |
|
|
顕微鏡で血液細胞を観察し白血球の分類や異常な細胞の出現の有無を確認します。 |
|
≪赤血球沈降速度≫ |
≪血液ガス分析≫ |
|
細菌検査
患者さんから採取した血液・痰・便・膿などから病気を起こしている菌を見つけ出し、その菌に効く抗菌薬を見つけることがメインの仕事です。その他、院内感染対策委員会に参加し院内感染の防止に努めています。
|
二重扉で内部の空気が外に漏れない構造です |
部屋の中は色々な培地が一杯です |
菌の名前と効く薬を見つける機械です |
|
血液の中に入った菌を調べる機械です |
遺伝子検査も行っております |
蛍光顕微鏡です |
|
検体を受け渡しするボックスです |
菌が外に飛び散らない安全キャビネット |
映画みたいな服も装備しています |
病理検査
手術や胃カメラ・大腸カメラで摘出された臓器や組織を加工して標本にし顕微鏡で観察することで、悪性のものはないか、どのような悪性のものなのか最終的に診断しています。
また、健康診断などで出していただく喀痰などもここで検査しています。
|
ここで臓器を小さく切り出します |
とても薄くスライスします。 |
|
|
自動染色装置 |
病理医や細胞検査士が顕微鏡でディスカッションしながら細胞を判定しています |
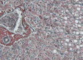
肝臓の染色 |
|
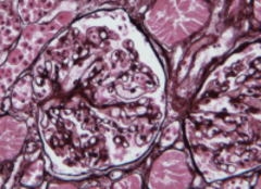
腎臓のいろいろな染色 |
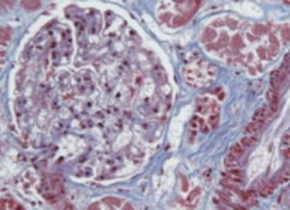
腎臓のいろいろな染色 |
|
このようにいろいろな色に染め分けて判定に利用しています。
生理検査
|
生体に直接検査をしているところです。 |
心電図検査 |
ホルター心電図検査 |
|
ABI(足関節上腕血圧比) |
肺機能検査 |
心エコー |
|
脳波検査 |
末梢神経伝導検査 |
|
輸血
輸血を必要とする患者さんに安全な血液を供給することが輸血部門の仕事です。そのために必要な、血液型検査や抗体スクリーニング(患者さんの血液中に輸血副作用の元となる物質が含まれるかを調べる検査)、交差適合試験(患者さんの血液と輸血する血液を混ぜ、凝集が起きないことを確認する検査)などを行っています。
|
輸血に必要な患者さんの情報は全てコンピュータ管理されています。 |
輸血用血液専用保冷庫です。厳重な温度管理も安全な輸血のためには欠かせません。 |
血液型の判定は間違いが許されません。専用機器による自動判定で判定ミスを防ぎます |
|
自動機器が判定した検査結果です。左:O型Rh(+)、右:AB型Rh(+) |
献血から作られた様々な輸血用血液です。 |
一般
尿や便の検査をします。尿検査では腎臓、尿路、膀胱の健康状態を調べます。便検査では腸など下記消化器からの出血の有無を調べます。その他、髄液、腹水、胸水、関節液、精液などの分析も行います。

尿定性試験紙法:
1枚のテープで10項目の尿中成分の検査ができます。それぞれの項目の色調の変化によりおおよその量を測ります。
|
試験紙の色調変化を読み取る装置 |
尿中に出現する細胞や細菌の有無などを調べる装置 |
顕微鏡で尿中の細胞を観察します |
|
顕微鏡で見た尿中の細胞 |
|
|
|
|
便中の出血の有無を調べる機械 |

































































